Артроботрис гриб (47 фото)
Нематода и хищный гриб
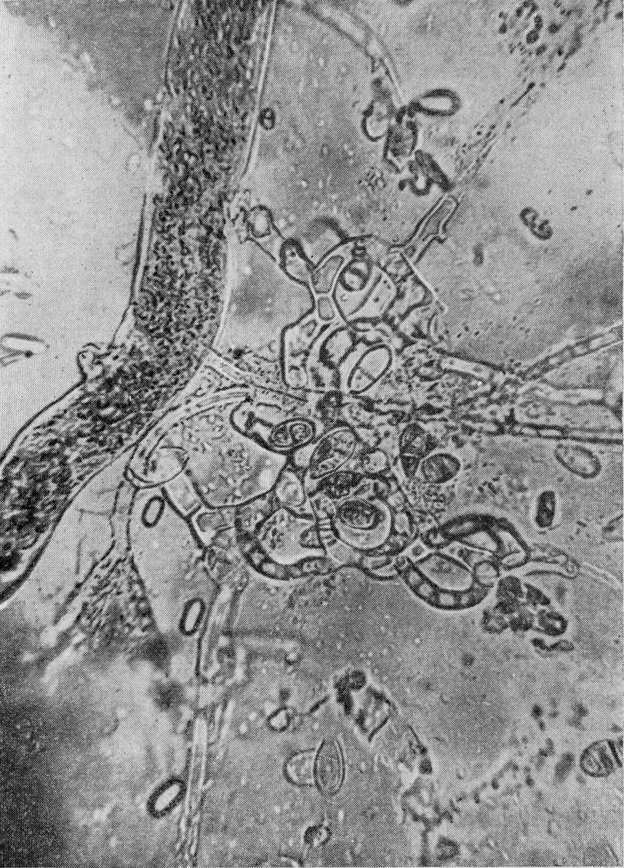
Arthrobotrys oligospora
Arthrobotrys oligospora
Arthrobotrys oligospora

Артроботрис гриб хищник
Кордицепс однобокий гриб
Хищные грибы Даддингтон
Хищные грибы Даддингтон
Хищные грибы питающиеся нематодами
Нематода и хищный гриб
Хищный гриб Артроботрис
Хищный гриб Артроботрис
Гриб анемон
Гриб Arthrobotrys oligospora
Гриб кордицепс военный
Белый гриб хищник
Zoophagus tentaculum
Хищные грибы друзья человека
Кордицепс грациозный
Duddingtonia Flagrans
Duddingtonia Flagrans
Дактилярия белоснежная
, Dreschlerella anchonia, гриб
Плотоядные грибы
Дактилярия гриб
Хищные грибы кордицепс
Duddingtonia Flagrans
Цветок решеточник красный
Гриб дактилярия белоснежная
Гриб кордицепс
Спорангия слизевика
Клатрус Арчера
, Dreschlerella anchonia, гриб
Боевой гриб
Гриб дактилярия белоснежная
Дорохов грибочек
Хищные грибы виды
Грибы Ярсагумба кордицепс
Duddingtonia Flagrans
Хищные грибы кордицепс
Название грибов хищников
Прозрачный гриб
Гриб кордицепс
Клавулина пепельно-серая
Кордицепс однобокий
Кордицепс на гусенице
Хищный гриб Армиллярия
Поделиться фото в социальных сетях:
Комментариев (0)
Похожие фото: